専門医インタビュー

膝の痛みのせいで外出もできない、家事もつらいけど手術は怖いとあきらめていませんか。「人工膝関節は膝の痛みを取るのが目的で、ADL(日常生活動作)とQOL(生活の質)を高める手段の一つ」と話す小林正明先生に、変形性膝関節症の治療についてうかがいました。
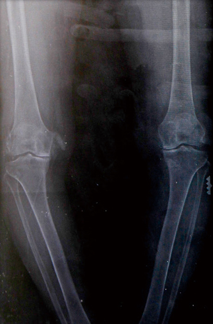
O脚のレントゲン
中高年の膝の痛みの原因で最も多いのが変形性膝関節症。加齢や使い過ぎなど膝に負担をかけ過ぎてきたために、膝の軟骨がすり減り、骨と骨とがぶつかって出てくる痛みです。女性に多いのも特徴で、40歳以上の膝をレントゲンで撮ると、女性の約6割には膝関節の変形がみられるといわれています。
膝の内側から悪くなることが多く、そのためO脚になりやすく、O脚になると体重が内側にかかり骨が削れ、さらに関節の変形が進むという悪循環をおこすことがあります。
変形性膝関節症は年齢と共に誰にでも起こる可能性があるのですが、現在のところはっきりした原因は分かっていません。
プールで歩く水中歩行が有効です。
まずは内服薬や外用剤を上手に使って痛みを取ることです。またサポーターや装具でカバーする装具療法やヒアルロン酸の注射で一時的に痛みを抑える方法もよく行われています。
重要なのが、体重コントロールと筋力強化。ちょっと動くだけでも膝には体重の3倍以上の負担がかかるので、1kg減量すれば、一歩歩くごとに3㎏負担が軽くなることになります。一日5,000歩歩いたら、なんと15t分の負担が減るわけなので、体重コントロールは非常に重要です。体重をコントロールするためには、筋力トレーニングだけでなく、食べ過ぎないなど食事療法も大切です。
筋力トレーニングは、特に太ももにある大腿四頭筋を鍛えて下さい。痛みがある膝に負担をかけることなく筋力を鍛えるには、プールで歩く水中歩行が有効です。運動療法と食事療法で、膝関節の悪化を先延ばしにすることができます。
変形性膝関節症の
レントゲン
痛みがつらくて歩きづらい、膝が曲げられないし伸ばせない、見た目にもO脚が進んで生活に困るようなら、手術をするタイミングだと思います。ただ、変形性膝関節症は命に関わる病気ではないので、手術は医師が説得して無理に行うものではありません。あくまでも、本人がこの後の人生をどう過ごしていきたいかということを考えて頂き、手術するかしないかを患者さん本人に決めていただきます。
手術とひと口にいっても、いくつかの種類があります。
患者さんへの負担、侵襲が一番少ないのが関節鏡視下の手術です。関節の周囲に小さな穴を2~3か所あけて器具を挿入し、痛みの原因となっている損傷組織などを摘出、掃除します。そのほかに、膝関節近くの脛の骨の一部分を切り、O脚を矯正するのが骨切り術です。体重がかかる部分を、傷んでいる内側から状態が良い外側に移し痛みや違和感を和らげます。
40代~50代の人を中心に行っていますが、内側の軟骨のみが痛んでおりO脚はそれほど進行しておらず、靭帯などの組織がまだしっかりしている人が対象になります。ただ、骨切り術は骨が付くのに時間がかかるので、長い期間仕事や家事などを休めないという人には適していないかもしれません。
ページの先頭へもどる
PageTop