専門医インタビュー

福岡県
プロフィールを見る
高齢化社会といわれる現在、加齢に伴って起こる変形性膝関節症により「膝が痛い」と悩まれる方の割合も増えています。しかし同時に、人工膝関節置換術の技術も年々進化し、年間約9万件実施されています。近年は、コンピュータを用いた技術の導入が進むなど、精度の高い手術が可能になっており、多くの方を症状の改善・痛みの緩和へと導いています。その詳細について、産業医科大学病院の川﨑展先生にお伺いしました。
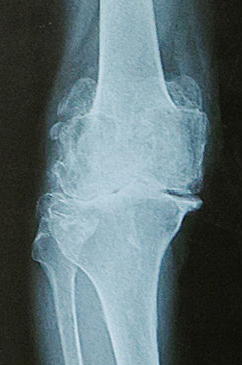
加齢によって膝の軟骨がすり減り、膝の変形やそれに伴う痛みなどを引き起こしてしまうものです。50代以上の女性の方が多い傾向にあります。
東京大学のROADスタディという疫学調査によると、レントゲン上では50代以上の2,400万人がこの変形性膝関節症の所見を有しているといわれています。このうち、実際に痛みを伴っている方は820万人という結果も出ています。
ちなみに平成28年の厚生労働省調査の統計データでは、高齢者で介護が必要となる場合、関節疾患が原因となってしまう割合は約1割で、脳血管疾患・認知症・高齢による衰弱に次いで4位となっています。その比率も増加傾向にあります。
変形性膝関節症の
レントゲン
痛みの種類には、①侵害受容性疼痛、②神経障害性疼痛、③心因性疼痛という3つの分類があり、これらが複雑に絡み合っています。①の侵害受容性疼痛は、膝の場合、変形に伴ってその部分が炎症を起こしたり刺激を与えられたりすることで起こる痛み、②の神経障害性疼痛は、主に神経自体が損傷されて起こる痛みですが、変形によって半月板など周辺部分が引っ張られたり関節が動揺(グラグラするなど)したりして関節周囲の神経自体が刺激されて起こることがあります。多くのケースが①の痛みから始まり、③の心因性疼痛は上記2つの分類が当てはまらない心理的な痛みですが、痛みが長引くことによる鬱症状などによって痛みを増幅させます。これらが複雑に絡み合うことで、神経系にも変化が生じ(神経の可塑性といいます)、患部やその周辺といった末梢の感覚神経だけでなく、その上位の脊髄から中枢神経系にも影響が出るようになります。これを「
ヒアルロン酸注射
変形性膝関節症の治療には、保存療法と手術療法の2つがあります。治療方針を決めるには、その方の心身の状態や痛みの出方などとしっかり向き合うことが不可欠ですが、基本的には保存療法から開始します。一方、受診されて変形は軽いもののすぐに手術を希望される方がいますが、そのような方にもまずは保存療法の重要性をお伝えしています。それは術前に痛みが強く中枢感作されるまで痛みが進んでいる方は、術後も痛みが残りやすいからです。中枢感作による慢性疼痛状態が起こらない段階で手術を受けるのが望ましいため、3ヶ月~半年間様子を見ながら、保存療法でできるだけ痛みを抑えるよう試みます。最終的に手術を選択することになっても、できる限り痛みを抑えた状態で手術を受けることで、術後の満足度につながるケースも少なくありません。保存療法では、痛み止めや中枢感作を抑える薬などの薬物療法や、ヒアルロン酸やステロイド剤の関節内注射療法、運動療法・物理療法を含む理学療法を行っていきます。特に、薬物療法は薬の選択肢も増えており、有効な場合も多々あります。また、外来でヒアルロン酸と局所麻酔薬を混合した注射を行うこともあります。この注射は、短時間ではありますが手術を受けた後の痛みが軽減した状態を体感できるというメリットがあり、検査かつ治療の意味で行います。手術を受けるか否か悩んでいる方に対して、手術に進むか否かの一つの判断材料となる場合もあります。
ページの先頭へもどる
PageTop