専門医インタビュー

兵庫県
プロフィールを見る

兵庫県
プロフィールを見る
膝の痛みや不具合を訴える人はたくさんいます。その原因として、関節リウマチや半月板損傷などの怪我による場合も考えられますが、膝が痛くて歩きづらい、関節が腫れて膝が曲がり、O脚になる…などの膝の不具合を訴える人の中で、高齢者に圧倒的に多いのが変形性膝関節症です。変形性膝関節症とは、どのような病気で、どういう治療法があるのでしょうか。今回は、多くの中高年女性が悩んでいる膝疾患の原因と治療方法について、膝の専門医である尼崎中央病院の細井波留夫先生と同じく整形外科部長の藤井隆太朗先生のお二人に話を伺いました。
正常な膝 軟骨がすり減った膝
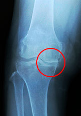
膝の病気には、若い人なら半月板損傷などの外傷や関節リウマチなども考えられますが、50代以降の方に多いのは、関節の変形を伴う変形性膝関節症です。これは膝の関節の軟骨がすり減ったために痛みがでてくる病気です。変形性膝関節症の可能性が疑われる場合は、まずレントゲンを撮って、「関節の変形があるか」、「変形は見られないが痛みを感じるか」などを確認します。
変形性膝関節症のX線
始めは動き始めるときに膝が痛みますが、そのうち動作中もずっと痛みが取れず、次第に歩くのが困難になります。特に階段を降りるときにつらいのが特徴です。関節が硬くなって膝の曲げ伸ばしが難しく、そのため「正座ができない」とか関節を覆っている滑膜が腫れて「膝に水がたまる」ということもあります。日本人の場合は、症状が進行すると骨が変形してO脚になる傾向が強く、生活に大きな支障をきたす場合もあります。 変形性膝関節症の原因としては、まずは肥満が考えられます。普段から、膝には体重の4~6倍の負荷がかかっていますので、肥満は膝にダメージを与える大きな原因の一つです。軟骨を長持ちさせるためには、適切な体重を維持することが重要です。とはいえ、変形性膝関節症の最も大きな原因は、加齢による変性です。長年使用してきた膝の関節は、歳をとると多かれ少なかれ不具合が生じてきます。なお、若い頃に外傷などで膝を痛めたり運動をやり過ぎたりした結果、軟骨に通常より多くの負担をかけた場合には、より症状が出やすいかもしれません。
ページの先頭へもどる
PageTop