専門医インタビュー

神奈川県
プロフィールを見る
ナビゲーション支援システム
人工股関節置換術の歴史は長く、現在のような形になったのは1960 年代です。年月を経るとともに製品の質・手術手技共に向上し、今日では極めて安全性の高い手術となっています。人工関節にしたことで痛みがなくなり、今まで我慢していた旅行や運動ができるようになったなどの実例が増え、それに伴って手術の認知度が上ってきているのだと思います。
手術は、全身麻酔をかけた上で股関節の前外方を切開し、変形した大腿骨頭を切除します。さらに、寛骨臼を削って代わりとなる金属を骨盤側に設置。大腿骨側にはステムと呼ばれる金属を差し込んで固定します。その後、ポリエチレンの人工軟骨、セラミックの骨頭を入れて、関節の動きや安定性を確認した後で、傷を縫合します。
昔は目視での設置でしたが、近年ではナビゲーションと呼ぶコンピュータによる支援システムがあります。一人ひとり異なる骨盤の傾きや、手術中にもわずかに変化する骨盤の角度をナビゲーションが示してくれるため、それを参考に調節して正確な人工関節の設置ができるようになっています。
手術は1時間~1時間半ほどです。全身麻酔のほか、背中に細い管を入れる硬膜外麻酔を併用し、術後の傷の痛みを抑えます。
人工股関節の一例
その通りです。使用する人工股関節の素材はポリエチレンとセラミックですが、極めて摩耗に強く、最近のデータによると25年後も90%以上が問題なく使用されています。20年前なら、人工関節の耐用年数は10~15年程度といわれ、再置換術が大変なことから、手術の適用年齢は65歳以上とされていました。現在、40~50代でも手術を受ける人が増えてきているのは、人工関節自体が長持ちするようになったことが大きく寄与しています。若い患者さんでも、一度人工股関節にすれば生涯そのまま過ごすといったことが十分可能です。
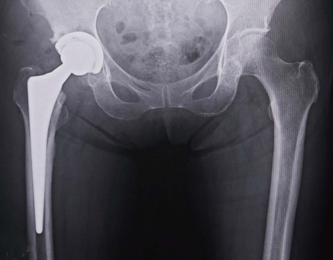
人工股関節置換術後のレントゲン
皮膚切開を8~10cm程度に留める手術を、MIS(Minimally Invasive Surgery:最小侵襲手術)と呼びます。人工股関節置換術が普及し始めた初期の頃は20cmほど切開するケースが多かったですが、現在では術後の負担を小さくするためにMISが広がってきています。ただし、股関節の変形が強い患者さんや、特別筋肉が厚い男性の患者さんなどであれば、ある程度開くことが望ましいケースもあります。MISでは、筋肉を切らず、筋肉と筋肉を分けて人工股関節の設置を行います。筋肉を温存できるので、術後の回復が早いのが大きな特長です。MISで手術をした患者さんは、術後に痛みを訴えることほとんどない印象が強いです。
MISは、小さな切開から筋肉の奥にある股関節を扱うため、手術は高度化し、高い医療技術を要求されます。前述のナビゲーションシステムなども活用し、安全性を重視した手術に努めています。
ページの先頭へもどる
PageTop