専門医インタビュー

愛知県
プロフィールを見る
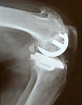
半置換術用のインプラント例と術後のX線
軟骨がなくなって強い痛みがあり、自由に歩けない状態―これが一般的な人工膝関節置換術の適応基準です。人工関節に置き換えると、膝の痛みを劇的に取り除くことができますので、残りの人生を痛みなく動けるようにする・最期まで自分の脚で動けるようにするというのが、人工膝関節置換術の目的になります。入院する時には車イスだった人でも、自分の脚で杖をついて歩けるようになって帰ることができます。痛いけれど我慢して制限のある生活をするか、残りの人生をできれば痛みなく自由に動ける生活をしたいか、各人の望みは決して同じではありません。「縁側で座って猫を抱いているのが幸せ」という人には、無理に人工関節は勧めません。患者さんの目的に合わせた、別の治療法を選択すればいいと思っています。人工膝関節置換術には、関節を全て置き換える「全置換術」と軟骨のすり減った片側だけを置き換える「半置換術」がありますが、当院では可能な限り半置換術を行っています。半置換術は、前十字靭帯がしっかりしている人、軟骨のすり減りが片側のみの人、膝が拘縮してない人などが、適応となります。全置換術は靱帯が不安定で、半置換術の適応ではない人のみに行います。
全身の健康状態が悪ければ、人工膝関節置換術は行うことができません。手術の対象者は高齢者が多く、中には高血圧・糖尿病・心疾患などの合併症を持っている人もいますので、まずは内科の専門医に診てもらい、内科的な疾患をコントロールしてからの手術となります。当院は総合病院ですので、各診療科と密接に連携を取りながら検査を進めています。現在は、98%の人が輸血なしで手術を終えています。
麻酔は、腰部麻酔とエコーを使って行う大腿神経と坐骨神経のブロック注射を用います。さらに膝関節周囲には、カクテルブロック療法を取り入れています。この療法は、膝関節周囲の筋肉や靱帯などに局所麻酔薬や消炎鎮痛剤などの混合液を直接投与し、痛みの軽減を図る方法です。除痛に関してはカクテルブロック療法があり、手術直後の痛みはほとんどなく、患者さん自身の力で膝関節を曲げることができます。手術時間は半置換術の場合は60分、全置換の場合は90分程度です。
術前とMIS人工膝関節置換術後のX線。
O脚だった脚が真っ直ぐになっているのが分かります
MISとは、できる限り人体への侵襲を小さくする・筋肉を切らずに温存することで、患者さんの体にかかる負担を軽減する手術手法で、低侵襲術あるいは最小侵襲術といいます。MISで重要なポイントとしては「手術時間が短いこと」、「手術が正確なこと」「筋肉を切らないこと」があげられますが、中でも筋肉を切らないことが重要で、当院では筋肉を全く切らない方法を採用しています。筋肉を切らないため術後回復のスピードも早く、手術翌日から歩くことができます。切っていない筋肉は3カ月もすれば元に戻りますが、一度切った筋肉は固い線維組織となります。また、筋肉を温存すると膝蓋骨(膝のお皿)が安定するというメリットもあります。膝蓋骨には大腿四頭筋という筋肉が4本附着していますが、手術では4本とも切らずに温存します。どれか1本でも筋肉を切ると膝のバランスが悪くなり、膝蓋骨に通じる血流も減少します。筋肉を切らないと膝蓋骨の安定感が断然上がります。筋肉を切った時は後で縫うわけですが、その場合すぐに120度も膝を曲げ始めることはできません。屈曲のリハビリもゆっくり行うことになります。膝蓋骨がグラグラしていると膝の自然な動きを再現するが難しく、術後しばらくの間は違和感が残る場合もあります。術者にとっては、視野が広く正確に人工関節を入れることができるため、MISよりも筋肉を切って手術する方が容易です。筋肉を切らないで正確に挿入するためには医師の側に高度な技術が必要になりますが、患者さんの退院後の生活を考えれば、MISで手術を行う価値は大きいと考えています。
MISにおける重要なポイント
ページの先頭へもどる
PageTop