専門医インタビュー

東京都
プロフィールを見る

東京都
プロフィールを見る
股関節や膝の痛みを気にしながらも、なんとなく受診を先延ばしにしている人は少なくありません。しかし、痛みへの適切な対処はまず専門医への相談から。「患者さんが痛みを感じる箇所と、実際に問題がある箇所は異なることもあり、客観的に痛みの原因を調べた上で治療法を考えていく必要があります」と話すのは、国立病院機構東京医療センターの藤田貴也先生と金田和也先生です。股関節の専門である藤田先生、および膝関節の専門である金田先生に、痛みのメカニズムや治療法、人工関節置換術の最前線について伺いました。
藤田 股関節の痛みの原因として代表的なのは、関節の軟骨がすり減って起きる変形性股関節症です。日本人には、太ももの骨の先端(大腿骨頭)の受け皿となる骨盤の骨(臼蓋)がもともと不完全な人が少なくなく、この臼蓋形成不全という病態が、後々の変形性股関節症につながる例が多くあります。
また、大腿骨頭壊死も多い病態です。これは何らかの原因で血流が閉ざされることで骨頭が壊死して陥没し、痛みが出てくるもので、アルコールをたくさん摂取した人や、ステロイド剤の大量投与を受けた人に起きやすいといわれています。一方、レントゲンで特に形態異常が見られない場合は、筋肉の骨盤への付着部が加齢にともなって炎症を起こした股関節周囲炎(大腿四頭筋付着部炎)なども考えられます。
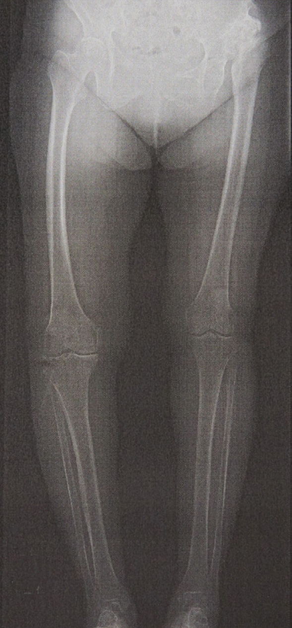
金田 膝の痛みの原因は年齢層によっても異なりますが、高齢者であれば股関節と同様に軟骨のすり減りによる変形性膝関節症が多いといえます。変形性膝関節症は、日本人では多くの場合、膝の内側がすり減ってO脚が進んでくるのが特徴です。
一方、若い人であればスポーツなどによるケガや使いすぎによって、靭帯や半月板、軟骨を損傷し痛みを生じるケースもあります。
下肢全体を含めたアライメント(骨の並び)をレントゲンで確認します。
藤田 そうですね。痛みや症状はオーバーラップしているため、股関節の痛みを訴えて来院された患者さんでも、調べてみると脊椎に問題があった、などのケースはしばしば見られます。反対に、腰椎疾患からの下肢痛だと思って悩んでいる人が、実際には脊椎疾患による神経症状ではなく、大腿骨頭壊死だったという例もあります。
そのため、まず脊椎や下肢全体を含めたアライメント(配列)をレントゲンで確認し、他の可能性を見落とすことのないよう、脊椎も含めた専門医同士で連携を進めています。
金田 腰と股関節が相互に影響して痛みの原因をつくるものをヒップスパインシンドロームと呼びますが、膝と腰が関係して痛みを起こすニースパインシンドロームと呼ばれる病態もあります。また、変形性股関節症に伴って隣接関節である膝も変形が進んでしまうコクサイティスニーの症例も少なくありません。
そのため、股関節、膝関節、脊椎などそれぞれの担当を持つ医師がいる病院で、総合的に痛みの原因をみてもらうことが重要です。
変形性股関節症のレントゲン
変形性膝関節症のレントゲン
藤田 股関節では、まずは生活習慣を見直したり、必要に応じて痛みを緩和する痛み止めを服用するなどの保存療法を行うことが大切です。特に、関節への負担を減らすために減量は欠かせません。また、飛び跳ねたりする過度なスポーツを控えたり、重いものを日常的に運ぶような仕事をしているのであれば、職場と話し合って軽作業に変えてもらうなどの対応も必要です。
保存療法を十分に行っても、やはり痛みが取れない場合は手術を考える必要が出てきます。臼蓋形成不全があって軟骨がまだ十分に残っている人であれば、自分の関節を温存する骨切り術という選択肢もあります。ただ、50~60代以降になり、軟骨がすり減り、症状がかなり進行していれば、人工股関節置換術の適応となることが多いです。
金田 膝関節でも、関節を安定させる筋肉をつける運動療法、関節への負担を減らすための減量、痛み止めの服用、ヒアルロン酸の関節内注射、足底板(インソール)やサポーターなどの装具、杖を使うなどの保存療法から治療を始めます。
それでも痛みが取れない場合は手術を考えます。まだ年齢が若く、軟骨の状態がそこまで悪くないという人や、激しいスポーツをするという人には、骨切り術をお勧めすることもありますが、70代以降で症状が進行している場合、人工膝関節置換術も選択肢の1つとなります。
変形性関節症は生命に関わる病気ではないので、「いつまでに手術を」と期限をつくる必要はなく、手術のタイミングは患者さんと一緒に考えていければと思っています。ただ、関節が痛くて外出も控えるなど生活レベルが下がると、ロコモティブシンドローム(運動器症候群)が懸念されてきます。生活の質を保つためにも、あまり我慢しすぎないでほしいと思います。
ページの先頭へもどる
PageTop