専門医インタビュー

兵庫県
プロフィールを見る
内視鏡手術のイメージ
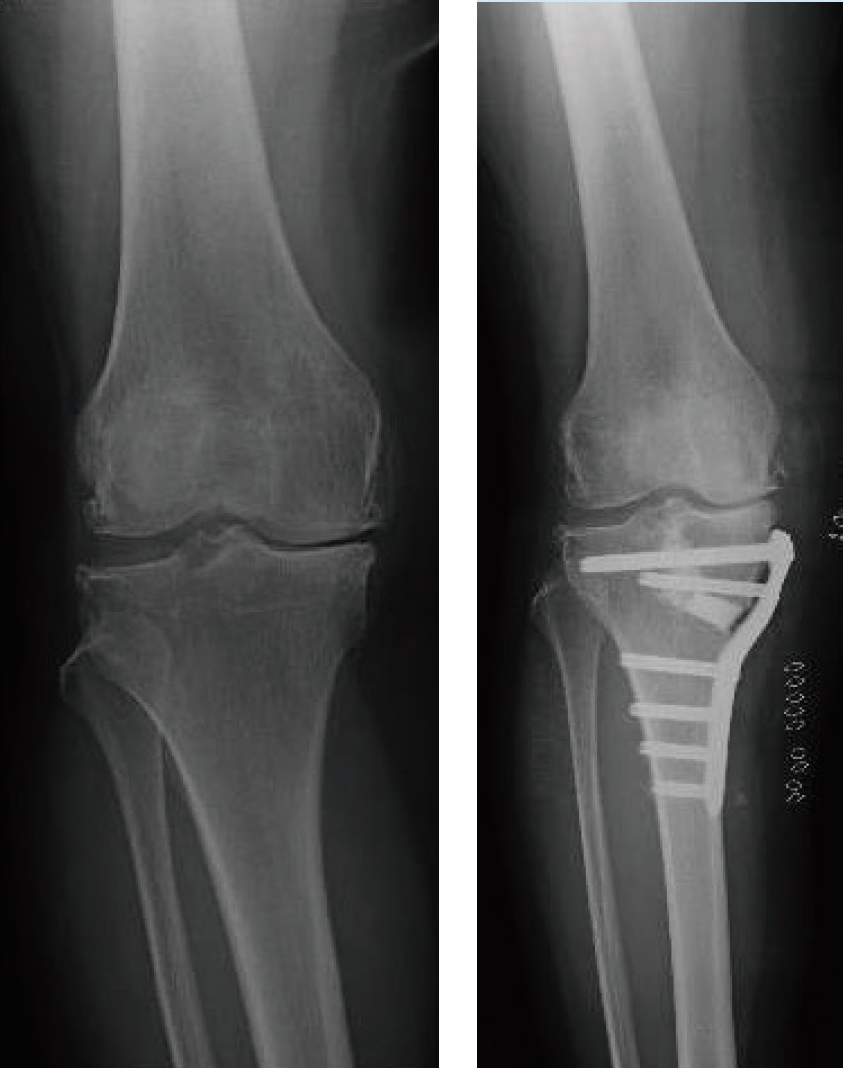
膝の引っ掛かりの原因となっている半月板や靭帯、骨の一部を内視鏡で切除する手術です。これにより膝の動きは滑らかになりますが、膝のぐらつきを矯正することはできないので、効果は長期的なものではありません。しかし、入院やリハビリ期間が短い、除痛効果が高い、社会復帰が早いとったメリットがあるため、選択肢の一つとなります。一方、怪我などで前十字靭帯を断裂した場合、そのままにしておくと高頻度で半月板や軟骨がすり減るため、将来的に変形性膝関節症を引き起こす原因になることもあります。そのため、なるべく早く内視鏡手術で靭帯再建を行い、半月板を縫合して関節のぐらつきを矯正する必要があります。また、40代~60代の患者さんでは、半月板断裂により、膝関節内から半月板が飛び出て骨同士のかみ合わせが悪くなり、一気に変形性膝関節症が進行する場合があります。その場合は半月板を脛骨に縫い付けて、元の位置に戻す手術を行います。内視鏡手術においては、MRI検査だけでなく膝に圧力を加えながらレントゲン撮影する検査(ストレスレントゲン検査)も行って、大腿骨と脛骨のかみ合わせのずれを正確にチェックすることが重要です。
前十時靭帯の内視鏡
半月板縫合後の内視鏡
半月板断裂の内視鏡
術前 術後
脛骨顆外反骨切り術(TCVO)のレントゲン
膝周囲骨切り術(AKO、上)と
高位脛骨骨切り術(HTO、下)
骨を切り膝にかかる荷重の位置を変える手術を骨切り術というのですが、その方法にはいくつかあります。膝の周囲で骨を切って、脚の形を矯正する手術を膝周囲骨切り術(AKO)。脛骨を切ってO脚変形をまっすぐ、あるいは軽度のX 脚に矯正する高位脛骨骨切り術(HTO)や、シーソー膝(関節の外側も内側もグラグラで不安定な膝)を安定させO脚も矯正できる脛骨顆外反骨切り術(TCVO)などがあります。
骨が癒合し、プレートを抜去するまでは多少の痛みが残りますが、自分の関節が温存されるので動作の制限はほとんどありません。スポーツも可能です。また、脚の形が自然になることで、見た目も歩き方も綺麗になります。手術方法や、骨を固定する材料の進化により、以前に比べて入院期間も短くなっています。
変形して傷んだ膝関節の骨の表面を取り除き、金属とポリエチレンでできた人工関節と置き換えることで、膝を安定させ、円滑な動きを取り戻す手術です。膝全体が大きく変形して日常生活に大きな支障をきたすほどの強い痛みがある変形性膝関節症末期の人に行う、膝関節治療の最終手段ともいえる手術です。除痛効果に優れ、入院期間が短くて済むのが特長です。
大きく分けて4種類あります。①傷んでいるのが片側だけで変形も比較的軽度な人にはより負担の少ない片側だけ置き換える部分置換術を。②内側も外側も傷んでいるが前十字靭帯と後十字靭帯がともに機能している人には、それを温存できる人工関節を使った全置換術を。①と②は靭帯が温存できるので、安定した自然な膝の動きが獲得できます。③骨の変形が強く後十字靭帯が拘縮している場合は、後十字靭帯がなくても機能する人工関節を。④十字靭帯だけでなく、横方向の安定性を得るのに重要な内側側副靭帯が機能していない場合や骨の欠損が強い場合は、拘束性の強い人工関節を。③や④のケースでは術前の膝の状態がかなり悪いことも多いのですが、術後は買い物や旅行くらいであれば不便を感じないレベルに改善します。
術前 術後
拘束性の強い人工膝関節置換術の
レントゲン
術前 術後
後十字靭帯が拘縮している場合の
人工膝関節置換術のレントゲン
術前 術後
部分置換術のレントゲン
ページの先頭へもどる
PageTop